Scintigrafia cu difosfonați este o metodă non-invazivă, inclusă în algoritmul de screening și diagnosticare al Amiloidozei cu transtiretină. Acest tip de investigație se regăsește în portofoliul de investigații disponibile din cadrul Laboratorului de Medicină Nucleară al Spitalului Județean de Urgență Suceava.
Amiloidoza este o boală sistemică rară, care apare atunci când organismul nu poate descompune proteinele amiloide rezultând în depunerea acestora la nivelul țesuturilor și organelor. Afectează diverse părți ale corpului și poate apărea ca o consecință normală a procesului de îmbătrânire, secundar unei patologii sau ca rezultat al unei mutații genetice ce generează anomalii în metabolismul proteic. Amiloidoza ereditară, care afectează de obicei sistemul nervos, inima și rinichii, apare cel mai des atunci când ficatul secretă o proteină anormală numită transtiretină. Este o boala progresivă, debilitantă și în ultimă instanță fatală. Tratamentul specific este costisitor și pentru a putea fi administrat și totodată decontat de Casa Națională de Sănătate este necesară parcurgerea unor etape de diagnostic, printre care este inclusă și scintigrafia cu difosfonați sau tetrofosmin.
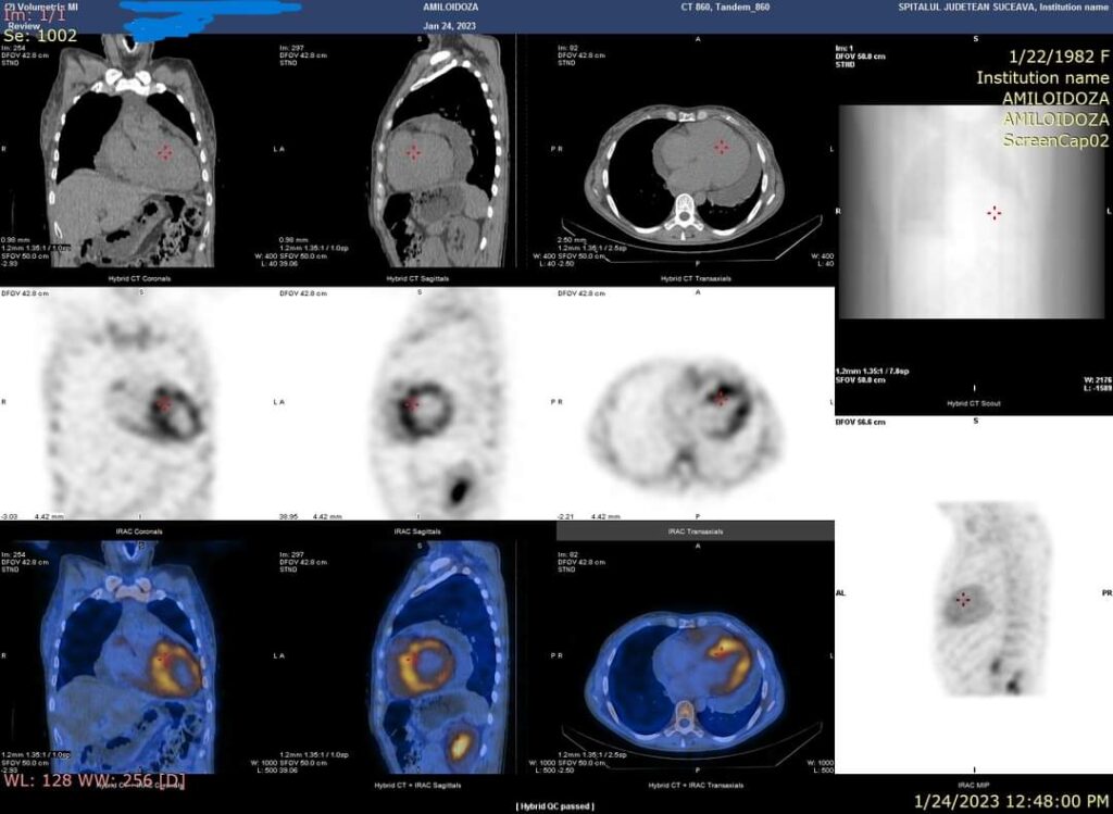
Recent, în Laboratorul de Medicină Nucleară al SJUSV în cadrul Centrului de diagnosticare și tratament al Amiloidozei coordonat de doctorul Daniela Neagu, medic primar neurolog, împreună cu doctorul Ramona Rusu, medic primar cardiolog, a fost investigat un caz de amiloidoză ereditară prin scintigrafie cu Tc99m-difosfonat. Fixarea radiofarmaceuticului în aria de proiecție cardiacă (scintigrafia corp întreg) similară fixării costale sau peste fixarea costală este diagnosticată pentru acest tip de patologie. Pentru reducerea rezultatelor scintigrafice fals pozitive, se poate efectua suplimentar achiziție SPECT/CT. Astfel se diferențiază dacă fixarea este la nivel miocardic, circulant sau extracardiac.
Colectivul Laboratorului de Medicină Nucleară al SJU Suceava este format din: doctorul Mihai Gutu – medic primar Medicină Nucleară, doctorul Mihaela Gutu – medic specialist Medicină Nucleară, și asistenții principali Ramona Florea, Ioana Oanea, Loredana Murariu și Florentina Ilețchi.


